这是世界上最小的鸟类之一,同时也是世界上飞行速度最快的鸟类,可以悬停、倒飞,灵活无比。

但你一定不知道,人的大脑里,可能也藏着一只“蜂鸟”当这只“蜂鸟”逐渐萎缩,人就会莫名跌倒、眼球转不动、说话吞咽都变得吃力。近日,陕西省核工业二一五医院神经内科一病区的医生,捕捉到一只关键的影像“蜂鸟”,为一位饱受病痛困扰的老人解开了谜题。
83岁的王大爷近三年来仿佛被无形的绳索绊住,走路越来越不稳,经常无故向后跌倒,说话、吞咽也渐渐吃力。半年前,情况急转直下,无法站立,情绪也变得起伏不定。家人带着他辗转求医,症状却像一团迷雾,难以拨开。
为了找到真相,王大爷一家来到了陕西省核工业二一五医院神经内科一病区。面对复杂的病情,神经内科团队采取了系统性的鉴别诊断,首先为老人安排了 “美多芭试验”,这是鉴别帕金森病的标准方法之一。然而,给予多巴丝肼治疗后,王大爷的症状并无明显改善,试验结果呈阴性,初步排除了帕金森病的可能。
随后,团队启动多学科会诊,继续寻找病因。神经外科医生首先通过腰椎穿刺放液试验排除了“脑积水”的可能。影像检查又发现了腰椎间盘突出,脊柱脊髓科医生会诊后认为,王大爷腰椎的退变程度与如此严重的全身症状并不匹配,并非致病主因。
诊断一时陷入僵局。神经内科一病区王建峰主任和王婉副主任医师在反复查看患者和梳理资料时,抓住了几个被忽略的关键细节。
王大爷的眼球可以左右转动,却无法自如地向上、向下转动。特别容易向后倾倒,平衡系统明显异常。还有言语含糊、饮水呛咳的症状,这提示脑干功能已受影响。这些症状组合起来,指向一个极容易被误诊的罕见病——进行性核上性麻痹(PSP)。


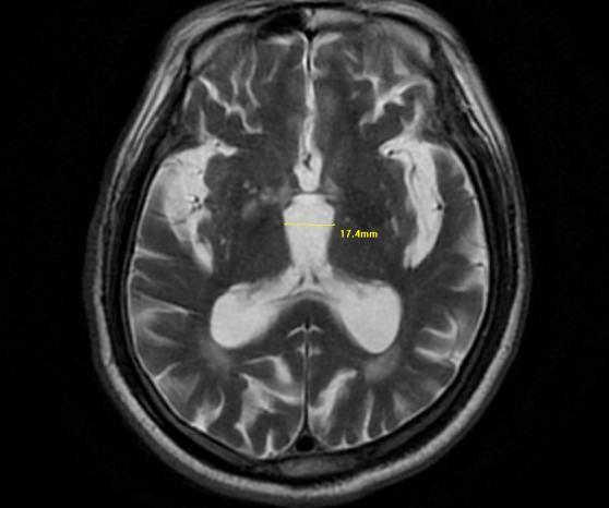
为了证实推断,医生调取了王大爷的脑部核磁共振图像。在脑干中脑部位的矢状位图像上,一个典型的特征出现了,熊猫体育官方中脑组织明显萎缩,侧面轮廓看起来就像一只蜂鸟的剪影。

它并非真的有一只鸟,而是中脑萎缩后,在影像上形成的特殊形态。正是这只“蜂鸟”,揭示了困扰老人三年的病根。
核心病因:目前认为与大脑中一种叫“tau蛋白”的物质异常聚集有关,这些蛋白沉积损伤了控制眼球运动、平衡和协调的脑干核心区域。
主要表现:常向后跌倒,眼球向上、向下活动困难,说话含糊、吞咽困难、饮水呛咳、情绪易波动。
极易被误诊为帕金森病、脑积水,甚至精神类疾病,诊断全靠医生对细节的把握与影像的识别。
遗憾的是,目前尚无根治方法,治疗主要以对症支持、康复训练和精心护理为主。但明确诊断本身,就是关键一步,它让患者和家人不再盲目求医,能针对性地进行康复、预防跌倒骨折、避免吸入性肺炎,从而提升生活质量。
如果你或家人出现不明原因的跌倒、眼球活动障碍、说话吞咽困难,请尽早到神经内科专科就诊。

专家特长:从事神经内科工作20余年,擅长经桡动脉全脑血管造影术,脑梗死的超早期溶栓治疗及颅内动脉取栓治疗、脑出血的微创治疗、蛛网膜下腔出血的脑脊液置换治疗及颅内动脉瘤栓赛治疗、颅内动脉狭窄及颈部血管狭窄的介入治疗、椎动脉及锁骨下动脉狭窄的介入治疗、颅内静脉窦血栓的内科治疗及介入治疗。

曾在现空军军医大学神经内科进修学习。发表SCI论文1篇,统计源科技核心期刊9篇。
专家特长:擅长脑血管病疾病、癫痫、周围神经疾病、神经变性疾病、中枢神经系统脱髓鞘疾病、中枢神经系统感染等疾病的诊疗。